White Spots on the Teeth: Why Do They Appear?


Written and verified by the dentist Vanesa Evangelina Buffa
White spots on teeth can appear for different reasons and can be related to different factors. For those who have them, they represent an esthetic problem. In addition, they may also represent an underlying condition.
In fact, in some cases, they’re a sign that indicates that dental hygiene is failing, that bacterial plaque is accumulating, and the teeth are losing their minerals. However, other times they can be generated by other situations, and in this article, we’ll take a look at all of them.
Knowing the origin of white stains on teeth allows us to determine the treatment to be carried out. In most cases, they have a fairly easy solution and the person can once again have a beautiful smile. Read on to learn more about white spots on teeth.
What are white spots on teeth?
White spots on teeth are seen as a change in coloration on the surface of the tooth enamel. They’re visible as areas of a dry dull white appearance, which contrasts with the normal bright yellowish or grayish-white of the tooth.
White stains on the teeth are quite common, and their appearance is related to several factors. A lack of dental hygiene is the most frequent cause. Excessive consumption of sugary foods, the onset of cavities, hypoplasia, and fluorosis may be other reasons for their origin.
These stains can appear in both children and adults and in both temporary and permanent teeth. Their appearance is not only a health problem, but also an esthetic problem. Sometimes, they cause insecurity and low self-esteem in the person who has them, and this person may try to hide his or her smile because of the way his or her teeth look.
Being able to clarify the cause of white spots on the teeth makes it possible to plan the appropriate treatment and take the necessary measures to avoid the appearance of new lesions. It’s best to visit the dentist when you notice any change in the color of your teeth.
White spots on teeth and their relationship with oral diseases
As we’ve already mentioned, there are different reasons that cause white spots to appear on teeth. Some are related to the moment of formation of the teeth and others to external situations that originate oral diseases that manifest themselves with these lesions.

1. Dental hypoplasias
This condition is generated by deficient and insufficient mineralization in the process of formation of the hard tissues of the tooth. It’s an alteration that occurs during the development of the teeth – i.e. in the mother’s womb or in the first years of life.
There are several causes that can give rise to dental hypoplasia:
- Problems during pregnancy: Suffering from certain problems during pregnancy when the baby’s future teeth are forming can alter their mineralization and cause hypoplasias. A high fever, infections, maternal illnesses, nutritional deficiencies, or taking certain medications during gestation give rise to this condition.
- Problems in early childhood: Suffering from certain conditions during the first years of life when the teeth are still forming also causes hypoplasias. Premature births, low birth weight, infections, high fevers, systemic diseases, malnutrition, and vitamin deficiencies are some examples that can alter the mineralization of teeth.
- Trauma: When a blow affects a baby tooth, it can injure the germ of the permanent tooth that is forming inside the bone through its root. This causes hypoplasia in the permanent tooth.
Like this article? You may also like to read: Black Spots on Your Gums: Causes and Treatments
2. White spots on the teeth due to fluorosis
Dental fluorosis is a pathology caused by excessive fluoride consumption during the period of tooth formation. Exceeding the recommended daily doses for this mineral when teeth are developing is what causes the problem.
In some regions of the world, drinking water contains a high amount of this mineral, and its consumption during the development of teeth can cause fluorosis. The use of fluoride supplements when it’s not necessary or the intake of fluoride in kinds of toothpaste with high concentrations can also be the origin.
Fluorosis manifests itself as white spots on the surface of the teeth. These white spots usually affect several teeth affected and they tend to have a characteristic streaking. In more severe cases, the coloration is more brownish and imperfections such as roughness and dimples can also be observed on the crowns of the teeth.
3. Dental cavities
One of the most frequent causes of white spots on teeth is dental cavities. The onset of this disease is manifested by a dull, dull, and dry-looking whitish coloration.
This condition is caused by the loss of minerals from the enamel of the tooth crown. This happens due to the action of acids produced by bacteria fermenting carbohydrates in the diet.
Therefore, this type of white stain is associated with poor dental hygiene and a diet rich in carbohydrates, especially foods rich in sugars. This favors the formation and accumulation of bacterial plaque that gives rise to caries.
In general, this condition often goes unnoticed by patients, so regular dental check-ups are essential. This early stage of the disease is reversible, and with the use of therapeutic fluoride, the tooth can recover its health.
4. Decalcification of the teeth
There are localized areas of calcium loss and lack of calcium that manifest themselves as white spots on the teeth. These can be caused by different reasons:
- Dental erosion: Frequently exposing the surface of the teeth to the action of acids, sodas, soft drinks, citric or kinds of vinegar affects the dental enamel. Suffering from acid reflux can also alter the tooth surface.
- Very traumatic dental hygiene practices: Brushing the teeth too fast with too much pressure, using too much force, or using a very hard bristle brush on a frequent basis can wear down the tooth enamel.
- Nutritional deficiencies: A lack of sufficient nutrients and prolonged periods of acidity in the oral environment favor the loss of minerals from the teeth.
- Dry mouth: Lack of saliva favors the loss of minerals from the teeth.
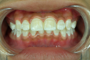
5. White spots associated with orthodontic treatment
There is a relationship between orthodontic treatment with braces and white spots on the teeth. However, it’s not the braces that cause these defects in the teeth, the difficulty in maintaining proper dental hygiene often gives rise to the condition
Failure to properly sanitize all areas of the mouth leads to the accumulation of plaque around the braces and under the bands. This results in demineralization of the enamel which is seen as white spots on the teeth. In general, these become evident when the braces are removed and should be treated at that time.
We think you may be interested in reading this, too: What Is an Oral Fibroma and How Does it Affect Oral Health?
How to remove white spots on the teeth
As we’ve already mentioned, it’s first necessary to determine the cause of white spots on the teeth to decide what treatment to use to reverse them. Seeing a dentist allows you to obtain an accurate diagnosis and plan the treatment indicated for each particular case. Then, they may recommend one of the following treatments.
1. Therapeutic fluoride
Fluoride is used to treat white spots caused by decalcifications and the first stages of cavities. Applying the element locally on the teeth allows them to remineralize.
The treatment is carried out by the dentist in the dental office, placing the fluoride on the tooth surface, leaving it to act for a while. It comes in the form of gels, varnishes, or foams containing a high concentration of the mineral.
After applying the product, the dentist will instruct the patient not to eat, drink or rinse his or her mouth for a few hours. In addition, the dentist will indicate how often to repeat the applications to reverse the condition.
2. Dental microabrasion
This treatment is useful to treat superficial white stains. The procedure consists of polishing the affected area of the tooth with rotary instruments or special acids. Then, the intervened portion of the tooth is filled with a filling that’s the same color as the tooth.
3. Fillings
Another way to remove stains from teeth is through the placement of fillings. These are used for larger and deeper stains.
In this case, the affected tissue has to be removed with rotary instruments and a cavity is left. The cavity is filled with tooth-colored composites that are bonded together with special adhesive systems.
The material used has a consistency similar to putty, allowing the dentist to mold it and give it the appearance he/she desires. When finished, a special light is applied that hardens the material and then the filling is polished to give it the final finish.
4. Dental veneers or crowns
These options are considered for the most severe cases, when there are large affected areas and the stains were caused by problems during development, such as hypoplasias and fluorosis. Veneers or crowns allow for covering imperfections, giving a natural look to the teeth.
Veneers are characterized by being placed on the front portion of the tooth. Previously, a small amount of wear must be made on the tooth to give it support. They are made of a composite or porcelain and can achieve optimal esthetics.
Crowns, on the other hand, cover the entire tooth, like a cap. It’s also necessary to cut the tooth to place them, requiring more wear.
To design them, the shape, color, and size of the tooth to be restored are taken into account, so they’re personalized and provide an adequate solution for each particular case.
5. Teeth whitening
Whitening is one of the most effective ways to achieve a whiter and more beautiful smile. It’s also a good way to remove white stains from teeth, especially when they’re in the outermost layer of the tooth.
This dental technique not only seeks to obtain more aesthetic results, but also levels the enamel, which facilitates the cleaning of teeth and the elimination of bacteria. Currently, there are multiple types of whitening, so the best option is to consult a dentist to select the most appropriate.

Preventing white stains on teeth
Some white stains on teeth can’t be prevented, but most are preventable by putting some of the following tips into practice:
- Adequate dental hygiene: Preventing the accumulation of bacterial plaque prevents the loss of minerals from the dental pieces. Brushing teeth thoroughly three times a day, using dental floss, fluoride toothpaste, and complementing with mouthwashes is essential. Patients with braces should pay special attention to thorough oral hygiene and always try to reach all of the areas of the oral cavity.
- Avoid excessive fluoride consumption: Knowing the fluoride levels in your drinking water, avoiding the use of supplements containing the mineral without medical indication, and using the right amount of toothpaste for each age can help to prevent fluorosis in children.
- Healthy eating: Eating a balanced and nutritious diet prevents a lack of minerals that could cause decalcification in the teeth. Also, avoiding processed, acidic, and high-sugar foods will help reduce your risk of developing white spots on your teeth.
- Regular visits to the dentist: Finally, regular dental visits allow you to detect any problems in time to treat them in a timely manner. Professional cleanings and advice from the dentist help to control bacterial plaque and keep your mouth healthy.
Take care of your smile
Having white spots on your teeth is not only an oral health problem. It also affects a person’s appearance, which can cause problems with self-esteem and self-image.
Fortunately, however, avoiding white spots and having beautiful teeth is possible with certain techniques to care for your teeth. With healthy practices and regular visits to the dentist, smiling won’t ever be a problem for you!
All cited sources were thoroughly reviewed by our team to ensure their quality, reliability, currency, and validity. The bibliography of this article was considered reliable and of academic or scientific accuracy.
- Quiñones Ybarría, María Elena, et al. “Estado de salud bucal: su relación con el estado nutricional en niños de 2 a 5 años.” Revista Cubana de Estomatología 45.2 (2008): 0-0.
- Giraldo Giraldo, Nubia Amparo, Alejandro Estrada Restrepo, and Andrés Alonso Agudelo Suárez. “Malnutrición y su relación con aspectos de salud en adultos mayores.” (2019).
- Loyola-Rodríguez, J. P., et al. “Incidencia de lesión de mancha blanca en las clínicas de ortodoncia de la Universidad Michoacana en Morelia, Michoacán, México.” Actualidad Médica 803 (2018).
- Da Silva, Claudia Ester, Julieta Galán, and Stella Maris González. “Etiología y diagnóstico diferencial de las lesiones de mancha blanca sobre la superficie adamantina.” III Jornadas de Actualización en Prácticas Odontológicas Integradas SEPOI-PPS (La Plata, 2018). 2018.
- Narváez Santos, María José. Tratamiento de la mancha blanca del esmalte post tratamiento ortodóncico. BS thesis. Universidad de Guayaquil. Facultad Piloto de Odontología, 2021.
- Garófalo León, Mirian Adela. “Prevalencia de mancha blanca en pacientes de 3 a 6 años Clínica Odontológica UCSG B 2017.” (2018).
- Maldonado-Ramírez, M. A., et al. “Remineralización de caries de mancha blanca no cavitada: estudio in vitro.” Oral 20.64 (2019): 1766-1770.
- Carrasco Morales, Maria Belén. Fluorosis dental infantil. BS thesis. Universidad de Guayaquil. Facultad Piloto de Odontología, 2021.
- Lalama Pincay, Martha Elizabeth. Microabrasión adamantina con ácido clorhídrico y ácido fosfórico en tratamiento de fluorosis dental leve. BS thesis. Universidad de Guayaquil. Facultad Piloto de Odontología, 2018.
- Poma Torres, Esthefania Mirella. Manejo y protocolo de atención de la hipoplasia en niños. BS thesis. Universidad de Guayaquil. Facultad Piloto de Odontología, 2021.
- Montero Ronquillo, Mercedes María. Manchas blancas como primera manifestación en la Estructura dental en dentición temporaria. BS thesis. Universidad de Guayaquil. Facultad Piloto de Odontología, 2021.
- Uzuriaga Bonifacio, Jossibel Dunea. “EFECTIVIDAD DEL FLUOR BARNIZ FRENTE AL FLUOR GEL NEUTRO PARA EL TRATAMIENTO DE MANCHAS BLANCAS DENTARIAS EN NIÑOS DE 5 A 6 AÑOS EN EL HOSPITAL II ESSALUD HUÀNUCO 2019.” (2021).
- González, María Alejandra Romero, and Denisse Pilar Carmen Aguilar Gálvez. “Comparación de tres agentes remineralizantes utilizados en lesiones de manchas blancas en premolares medidos con fluorescencia láser: un estudio in vitro.” Revista Científica Odontológica 7.1 (2019): 66-77.
This text is provided for informational purposes only and does not replace consultation with a professional. If in doubt, consult your specialist.







