Why Does Tartar Turn Black? Treatment and Prevention


Written and verified by the dentist Vanesa Evangelina Buffa
Many bacteria and debris can accumulate on the teeth if we don’t have proper oral hygiene. In this article, we’ll tell you about tartar and why it sometimes looks black.
The presence of this dark calculus on the teeth and gums not only affects the appearance of the smile. It can also give rise to oral diseases such as gingivitis and periodontal disease.
Therefore, when black tartar appears, its removal is necessary. Removing these deposits preserves health and improves esthetics. However, the intervention of a dentist will be necessary.
What is dental tartar?
When bacteria, food debris, and residues in the mouth are not properly removed by dental hygiene, they accumulate on oral surfaces. This results in a sticky film known as plaque.
If plaque is not removed by brushing and flossing, it continues to build up and deposit on teeth and gums. And over time, the minerals present in the mouth calcify and harden this film. This is how what we know as tartar, calculus, or dental tartar appears.
The speed at which bacterial plaque can harden varies from person to person, and can even change in the same individual at different stages of life. Although in general terms, the average calcification time is 10 to 12 days.
Factors such as the type of tooth, the salivary pH, and the amount of calcium, phosphorus, and other substances present in the saliva have an impact on the tartar formation process. Oral hygiene habits, access to dental care, time since the last dental cleaning, systemic diseases, use of certain medications, diet, and age of the patient also play a role.
Tartar is formed from the mineralization of bacterial plaque. However, it has a different texture and consistency and it’s not so easy to remove. Brushing and flossing are not enough to remove it.
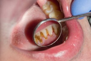
The color of tartar
The color of dental tartar depends largely on how old it is and where it’s located. The most common areas where bacterial plaque begins to harden are those close to the ducts through which saliva exits the mouth. This is on the inner side of the lower incisors and on the outer surface of the molars.
When it’s barely formed and is above the gum line, the tartar is lighter. In these cases, it’s called supragingival calculus and has a yellow or light brown color.
When tartar is older and has accumulated, it’s common for it to begin to deposit under the gum. This is known as subgingival calculus.
Subgingival calculus and deposits that have been in the mouth for a long time darken. Thus, they may appear brown, black, or green in color.
Why does calculus turn black?
The composition of black calculus is the same as that of the lighter variants. However, it also includes other components that come from nearby fluids.
So, in addition to dead bacteria and mineralized salivary proteins, tartar is exposed to the following:
- Blood and hematic by-products: Inflamed gums that bleed predispose the tartar to contact with hematic substances that tend to darken it. When calculus is below the gum line, dark pigmentation with blood is more noticeable.
- Gingival crevicular fluid: This is a fluid excreted by the connective tissue and increases with the presence of bacterial plaque and inflammation of the gums.
- External substances: Contact with external substances that enter the mouth can favor the staining and pigmentation of tartar. Its darkening may be due to the frequent consumption of dark beverages, such as coffee or red wine, and the use of tobacco.
However, beyond these factors, you should know that all forms of calculus darken and increase in size over time.

Complications of black tartar
The presence of black tartar and plaque in the mouth has negative consequences on oral health. Both act as irritants of the gums, favoring their inflammation and the appearance of gingivitis. The gingival tissue then becomes swollen, painful, red, and bleeds easily.
If gingivitis is not treated in time, it can evolve into periodontitis. This condition is more serious. Inflammation and infection deeply compromise the tissues that support the teeth. Thus, it can lead to tooth movement and even loss.
When black tartar accumulates under the gum, between the gum tissue and the tooth, it favors the presence and accumulation of harmful bacteria. This predisposes to the development of infections and pus inside the periodontal pockets.
Periodontitis is also a risk factor for general health. In fact, this condition of the mouth is associated with complications of diabetes, heart disease, and respiratory diseases.
Therefore, the presence of black tartar not only affects the oral cavity, but has repercussions throughout the body. Also, it must be treated in a timely manner so that it doesn’t continue to cause damage.
The treatment of black tartar
We’ve already mentioned that the only way to eliminate black tartar is through the intervention of a dentist. Brushing and flossing are not enough to remove these hard deposits from the oral surfaces.
The professional will evaluate the situation, determine the location of the calculus, and diagnose the associated diseases. From this, the most appropriate approach will be chosen.
To remove black calculus, dentists typically resort to what is known as scaling and root planing. This is a procedure that seeks to remove bacterial plaque, tartar, and pigmentations deposited on tooth surfaces and periodontal pockets.
This intervention combines the use of manual tools, called curettes, with ultrasonic instruments. The latter generates micro-vibrations that break the crystals of the mineralized plaque.
When black calculus is accumulated inside the periodontal pockets, in contact with the gum and dental roots, it’s necessary to use anesthesia to avoid pain during the treatment. The dentist then performs dental curettage.
This procedure involves scaling, polishing, and smoothing the roots of the teeth. Tartar and subgingival bacterial plaque are removed and inflammatory tissue inside the gums is discarded.
Finally, the external area of the teeth is cleaned with rotary instruments to remove impurities, pigments, and irregularities. This leaves a smooth surface that prevents the retention of bacterial plaque and the recurrence of the problem.
Depending on the amount of accumulated black tartar and the condition of the periodontal tissues, one or more scaling and root planing sessions may be necessary. In more severe cases, the combination with periodontal surgeries may be appropriate.
The results
Through these procedures that remove black tartar, a person’s smile can once again look beautiful and pleasant. In addition, the gums and periodontal tissue can recover.
Once all the black tartar has been removed from the mouth, the dentist will indicate to the patient some hygienic measures to be performed at home. In addition, if the case warrants it, the dentist will prescribe antibiotics, antiseptics, and anti-inflammatories to improve the evolution of the process.
Every so often, it will be necessary to reevaluate the state of the mouth and perform maintenance treatments. Some people have a greater tendency to form dental calculus.
Like this article? You may also like to read: Black Spots on Your Gums: Causes and Treatments
The prevention of black tartar
As the saying goes, “prevention is better than cure.” Although black calculus can be removed and treated with a simple treatment such as scaling and root planing, it’s ideal to avoid the need for this treatment to begin with.
The objective is to reduce the permanence of bacterial plaque on oral surfaces. In this way, without plaque that can calcify, there will be no calculus.
Maintain proper oral hygiene
Proper oral hygiene is essential to prevent the formation of black tartar. For this, proper and frequent brushing of teeth and gums is key. This is what allows the removal of the bacterial plaque that forms.
It’s necessary to brush all the sides of all the elements present in the mouth and the area where the teeth meet the gums. In addition, at the end of the cleaning, don’t forget to include the tongue.
This should be done with a soft bristle brush and fluoride toothpaste. There are also some alternative kinds of toothpaste specially designed for tartar control. The dentist may recommend these products to patients who produce a large amount of dental calculus.
Cleaning should last at least about two minutes. It should be done 2 or 3 times every day or after every meal.
In addition, it’s also necessary to floss once a day. This element is used to clean the areas between the teeth, where the toothbrush cannot reach. Dental irrigators and interdental brushes can be of great help.
The dentist may suggest the use of mouthwash. These special fluids with antiseptics or fluoride help control plaque formation, prevent tartar, and complete the hygiene routine.
Pay attention to your diet
Bacteria that form plaque take advantage of the sugars and carbohydrates in our diet to grow and multiply. Paying attention to the type of food we eat helps to keep harmful bacteria under control.
It’s therefore recommended to avoid, or at least reduce, your consumption of any foods that favor bacterial proliferation. Snacks, sweets, candies, sweets, soft drinks, and ultra-processed foods are some examples.

Avoid smoking
Smoking increases the chances of having black tartar in the mouth, among many other harmful effects.
Dry mouth and increased bacterial plaque are frequent problems in smokers. With this, the formation and accumulation of black tartar is a common consequence. The pigments from the chemicals contained in cigarettes darken the calculus more quickly.
Control dry mouth
Saliva is a very important fluid in maintaining oral health. It helps clean the tooth surfaces, limits the growth of bacteria, and neutralizes the acids they produce.
However, aging, the use of some drugs such as sedatives, antidepressants, antihypertensive, and oncological therapies can cause dry mouth. Xerostomia can also be caused by the frequent consumption of alcoholic beverages or smoking.
Drinking plenty of water, staying hydrated and chewing gum are alternatives that help counteract the effects of this problem. If possible, changing medications that cause dry mouth is also a good strategy.
We think you may be interested in reading this, too: What Is an Oral Fibroma and How Does it Affect Oral Health?
Visit the dentist regularly
Regular dental visits every six months help detect and treat any problems in the mouth in time. Then, if tartar does appear, it can be removed immediately, before it can continue to build up and cause undesirable consequences.
Advice on brushing techniques and recommendations on the use of certain dental hygiene products are common at the dental office. A dentist also educates the patient on how to take care of his or her mouth and keep it healthy.
Professional cleanings also play a very important role in controlling bacterial plaque. They allow the early removal of plaque deposits, calculus, and pigments that form and that the toothbrush can’t reach.
No black tartar
A smile covered by dark deposits is not the best first impression. However, as we told you, black tartar doesn’t just affect the aesthetics and appearance of the mouth. It also predisposes a person to other diseases.
When black tartar appears, dental treatment is necessary. And even if it’s a simple procedure, it’s always preferable to avoid it. Committing to good mouth care will prevent black tartar and improve the appearance and health of your smile.
All cited sources were thoroughly reviewed by our team to ensure their quality, reliability, currency, and validity. The bibliography of this article was considered reliable and of academic or scientific accuracy.
- Baux Jiménez, G. (2008). Incidencia del cálculo dental en piezas del maxilar superior (Doctoral dissertation, Universidad de Guayaquil. Facultad Piloto de Odontología. Escuela de Postgrado” Dr. José Apolo Pineda”).
- Rivas Almonte, U. O. (2004). Dosaje de calcio y fósforo en saliva estimulada en relación al cálculo supragingival, en personas sanas.
- Caballero, A., Ricaurte, M., & Conrado, C. (2011). Cálculo dental: una revisión de literatura y presentación de una condición inusual. Acta odontológica venezolana, 49(3).
- Chaguay Alvarado, J. S. (2021). El tabaquismo y sus consecuencias en la cavidad bucal (Bachelor’s thesis, Universidad de Guayaquil. Facultad Piloto de Odontología).
- ANATOMOFISIOMICROBIOLÓGICOS, A. C. Y. (2006). El surco gingival Aspectos clínicos y anatomofisiomicrobiológicos. Odous Científica, 7(2).
- Pérez, A. J. S. (2008). Gingivectomia y curetaje gingival. Labor dental clínica: Avances clínicos en odontoestomatología, 9(1), 24-28.
- Mosquera Tacuri, M. J. (2019). Tratamiento de bolsas periodontales con raspado y alisado radicular campo abierto (Bachelor’s thesis, Universidad de Guayaquil. Facultad Piloto de Odontología).
- Rodríguez, J. A. L., Casana, S. T. V., & Alejandro, M. G. P. (2020). Efectividad de la clorhexidina y aceites esenciales asociados al raspado y alisado radicular en el tratamiento de periodontitis crónica. Ciencias de la salud, 18(3), 3.
- Bernardo Ricardo, P. B., Clara, O. M., & Walkyria del Carmen, G. R. (2021, March). Efectividad de antimicrobianos como coadyuvantes del raspado y alisado radicular en la periodontitis del adulto. In EMPREFARMA PINAR 2021.
- Badal, C. F. (2014). Evaluación de la capacidad de un nuevo colutorio de inhibir la formación del cálculo dental supragingival (Doctoral dissertation, Universitat de València).
- Llena, C., Forner, L., & Vento, C. (2009). Anticalculus efficacy of a new dentifrice. Quintessence International, 40(6).
This text is provided for informational purposes only and does not replace consultation with a professional. If in doubt, consult your specialist.







