10 Natural Methods to Get Rid of Dental Plaque


Reviewed and approved by the doctor Nelton Abdon Ramos Rojas
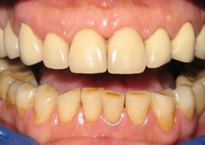
After eating, it’s recommended that you brush your teeth. This is because a colorless, sticky substance which eventually turns white, called plaque, starts to form on our teeth. If plaque isn’t removed regularly, it hardens, turning into the dreaded tartar.
Luckily, it’s possible to get rid of dental plaque naturally at home. The key is to stop it before it becomes a problem.
Today, we’ll take a look at how.
The importance of good dental hygiene

When we talk about avoiding problems with oral health, keeping them clean is the most important thing, without a doubt.
Teeth that are cleaned correctly are less likely to suffer from infections and the spread of oral bacteria.
Also see: Say goodbye to oral health problems with this natural remedy
Natural remedies to get rid of dental plaque
There are a number of handy remedies that help to get rid of plaque naturally without even leaving your house. Here are some of the most effective ones.
1. Mountain wormwood infusion
You can find mountain wormwood in health food stores. This plant has many benefits for your mouth, as it has great antiseptic properties, according to this study carried out by the Center for Medication Development in Cuba.
- Prepare the infusion by adding one tablespoon of wormwood to a mug of water. Use it to brush your teeth or to rinse your mouth frequently.
2. Apple cider vinegar

Apple cider vinegar is your friend when it comes to oral hygiene, as it eliminates bacteria that causes dental plaque, as shown by this study from Middlesex University in the UK. Besides this, it also acts as a whitener as it helps to balance the pH levels of the acids, and, in this way, can brighten your teeth.
- You can rinse out your mouth with the vinegar straight (remembering to then rinse it out with water).
- You can also mix the vinegar in equal parts with water to make a ‘mouthwash’ that can be used in the morning and before going to bed.
3. Walnut shell infusion
Nuts are a food rich in phosphorus, and this mineral is necessary for our bones and teeth, as well as calcium. It’s used by the body for the repair of cells and tissues and helps to relieve muscle pain, as stated in this report obtained by Oregon State University (United States).
You can brush your teeth using this walnut shell infusion by dipping your toothbrush into it. Aim to brush your teeth gently for at least 3 minutes.
- Heat the walnut shell in a pan with water.
- Once it starts to boil, leave it to infuse for 5 minutes.
- Leave it to stand for another 15 minutes before using it.
4. Rosemary essential oils
This oil is a disinfectant and helps to eliminate bacteria from the mouth, as stated in this study conducted by the University of Murcia (Spain). Therefore, it can prevent the accumulation of plaque and tartar, and also helps to improve bad breath.
- Mix 2 or 3 drops of rosemary essential oil with a spoon of water.
- Rinse with this mixture, passing it over your teeth for a few minutes, but don’t swallow the mixture.
- Spit it out and brush your teeth as you normally would
5. Aloe vera
Aloe vera is an antimicrobial that may help eliminate the bacteria that cause dental plaque, while also fighting bad breath. This is what is stated in this study carried out by the New Horizon Dental College and Research Institute (India).
- Extract the gel from the aloe vera plant and rub it directly on the gums and teeth.
- Leave it on for a few minutes and then rinse. If you can, repeat this procedure several times a day when you brush your teeth.
6. Baking soda

According to this research conducted by the University of Iowa (United States), baking soda is one of the most effective products as a home remedy to remove dental plaque, since it neutralizes the acids in the mouth, like apple vinegar, reducing bacteria, and also helps to whiten the color of the teeth.
- Put some baking soda on your previously wet toothbrush and brush as you normally would. Then rinse thoroughly.
- You can also mix the baking soda with a little salt.
- Another option would be to mix the baking soda with lemon and follow the same cleaning procedure.
Do not overuse the baking soda, because it can damage the tooth enamel.
7. Orange peel
Orange peel is an ultimate source of vitamin C, which helps to naturally eliminate and prevent dental plaque, thanks to limonene from orange peel, according to this study carried out by the University of Zaragoza, Spain. It’s also a natural whitener for teeth.
- Simply, after eating an orange, use the peel to rub your teeth with it for a few minutes.
- Then rinse your mouth, and if you can, repeat the procedure several times a day.
8. Hydrogen peroxide
Hydrogen peroxide is the best example of an oral antiseptic, but you only should use it under dentist supervision.
- Rinsing daily helps prevent dental plaque or eases and eliminates it.
9. Coconut oil and baking powder toothpaste

Coconut oil is a lauric acid that helps with its antimicrobial and antibacterial action, according to this study conducted by the State University of Santa Cruz (Brazil). In addition, it also helps reduce bad breath.
- All you need to do is mix together equal parts of baking powder and coconut oil.
- Then, put a small amount on your toothpaste and clean your teeth as always.
- You can make enough for a few days and keep it tightly sealed in a glass container.
10. Sesame seeds
Sesame seeds are believed to act as a natural exfoliant and assist in the removal of tartar. However, there is little scientific evidence to support this.
What is proven is that they contain calcium, so they’re beneficial for the health of our bones and teeth. You can use them during your daily oral cleaning.
- You can chew them for several minutes, rubbing them on your teeth to gently remove dental plaque.
- Then, remove the excesses.
- Finally, brush in the usual way with your toothpaste.
Steps for getting rid of dental plaque naturally
There are two key steps to this, both for an effective clean and to get rid of dental plaque:
1. Brushing correctly
The time spent brushing is key; you should take your time when it comes to cleaning your teeth.
- Choose a soft, round brush that doesn’t harm your gums.
- The toothpaste you use should contain fluoride, you should also floss and finish your routine with a good quality mouthwash.
- You should do this at least twice a day.
We recommend you read: 14 reasons why your gums bleed when brushing your teeth
2. Rinse frequently
Aim to rinse your mouth every time you finish eating. You don’t necessarily need to brush your teeth properly every time, but it’s important that any debris left after eating doesn’t stay between your teeth for a long time.
You can rinse with just water, with anti-plaque mouthwash or any of the ones we have recommended.
As you can see, it is possible to get rid of dental plaque naturally.
However, it is important to remember that prevention is also important to keep plaque away, so you should visit your dentist regularly (around every 6 months).
All cited sources were thoroughly reviewed by our team to ensure their quality, reliability, currency, and validity. The bibliography of this article was considered reliable and of academic or scientific accuracy.
- Serrano, J., & Herrera, D. (2005). La placa dental como biofilm: ¿Cómo eliminarla? Rcoe, 10(4), 431–439. https://doi.org/10.4321/S1138-123X2005000400005
- Gil, Aguilar, Cañamas, & Ibañez, Y. (2005). Sistemática de la higiene bucodental: el cepillado dental manual. Periodoncia Y Osteointegración, 15(1), 43–58. https://doi.org/10.1016/J.MATLET.2016.02.139
- Moromi, h, Martinez, E., & Ramos, D. (2009). Anti bacterianos naturales orales : Estudios en la Facultad de Odontología de la Universidad Nacional Mayor de San Marcos. Revistas de Investigación UNMSM, 12(1), 1–4. https://doi.org/10.15381/os.v12i1.2910
This text is provided for informational purposes only and does not replace consultation with a professional. If in doubt, consult your specialist.







