How to Remove Tartar From Your Teeth Naturally

Tartar, also known as dental calculus, is the hardening of plaque due to mineral deposits.
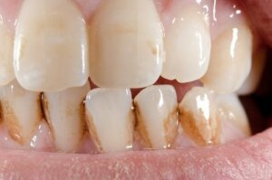
This usually causes the teeth to look unattractive, with yellowish or brownish discoloration. At the border between the gums and teeth, the debris can be even darker in color. As a result, it often looks like a kind of crust over the area.
What should you know about tartar?

Tartar is rough to the touch. Apart from being an aesthetic problem, it can also lead to other health problems. When tartar interacts with certain foods (such as sweets, cola, and fried foods), it releases an acid that can cause cavities.
On the other hand, certain habits such as smoking, alcoholism, and excessive coffee consumption can promote the appearance of tartar. There may also be a genetic predisposition to tartar production.
You might find this interesting: The Many Uses of Coconut Oil to Take Care of Your Body
Home remedies for tartar on teeth
The best remedy against tartar is prevention, and proper dental hygiene habits help prevent the appearance of this plaque. Specialists recommend brushing your teeth after every meal or at least twice a day. Flossing or using interdental brushes at least once a day also helps prevent the appearance of tartar.
In addition to maintaining good dental hygiene habits, it’s essential to visit the dentist periodically for a thorough cleaning. However, you can also take advantage of the benefits of specific home remedies to prevent excess tartar on the teeth.
Baking soda to remove tartar

Many people use baking soda mixed with lemon or salt to strengthen their dental hygiene and keep the color of their teeth clear, given the properties of these ingredients. It’s also recommended to mix it with a bit of water, as the taste can be a little intense.
However, be careful with its use, because it can damage the enamel of your teeth.
Ingredients
- One tablespoon of baking soda (10 g)
- One teaspoon of salt (5 g)
- Water (as much as needed)
Preparation
- In a bowl, mix the baking soda and salt.
- Then, dip your toothbrush in warm water.
- After, dip the toothbrush into the baking soda and salt mixture to soak it.
- Brush as usual, but try to focus on the areas where tartar tends to build up the most.
- Repeat at least two times a day (morning and night) to get results.
Lemon to remove tartar naturally
This is another of the best teeth whiteners. Besides, this citrus fruit has antibacterial properties that come in handy when fighting tartar.
After using it, rinse it well so that it doesn’t produce stains on the skin around the mouth the next day it when in contact with the sun.
The acid in the lemon could damage or weaken the teeth, so you should use this recipe, at most, once a week.
Ingredients
- The juice of ½ lemon
- ½ cup warm water (125 ml)
Preparation
- Fill half a cup with warm water. Add lemon juice.
- Then, place the water and juice in a glass or cup and stir.
- Swish it around in your mouth before you go to bed.
- Finally, rinse with a little warm water, so you don’t get a sour taste.
Hydrogen peroxide
This household staple can also be used to lighten teeth and remove tartar. You can use this home remedy up to three times a week, always as a rinse after routine brushing.
Ingredients
- ¼ cup of warm water (62 ml)
- Two tablespoons hydrogen peroxide (20 ml)
Preparation
- Place warm water in a glass and add the hydrogen peroxide. Stir to mix.
- Then, take some of the water and swish for at least 1 minute.
- Spit out the mixture and repeat for another minute.
- Rinse with cool water.
Read: Nutrients and Exercises to Maintain a Healthy, Clean, and Strong Liver
Sesame seeds

These seeds are ideal for removing accumulated dirt from the teeth.
- You just need to take a spoonful of them and chew them slowly for a minute or two.
- Then, spit them out and massage the teeth with the help of a previously moistened toothbrush.
- Finally, rinse with water.
Parsley to remove tartar from the teeth

This aromatic herb that’s used in many recipes for flavoring can also help fight tartar buildup in the gums. One of the simplest remedies is as follows:
Ingredients
- One handful of parsley leaves (20 g)
- One tablespoon of water (10 ml)
Preparation
- Wash and finely chop the parsley leaves.
- Then, mix with water to form a paste.
- Put the mixture on your teeth and leave it on for about 5 minutes.
- Rinse with plenty of warm water.
Fruits to remove tartar from teeth

Believe it or not, certain fruits can whiten our teeth and remove long-standing tartar. For this method to work, you should eat them raw and bite them (do not cut them with a knife).
Apple, melon, and strawberries are three perfect alternatives to have healthy gums, avoid food accumulation and prevent bleeding that appears with brushing. However, it should be noted that the apples should be eaten with their peel to achieve the desired effect.
Also, both strawberries and tomatoes can be used simply by cutting them into slices and rubbing them directly on the teeth before each meal.
Recent studies show that consistent long-term consumption of fruit is associated with a decrease in the formation of tartar. This is because fruit promotes the acidification of dental plaque, preventing its accumulation.
Another homemade way to fight tartar is to rub the inside of the peel of certain fruits (orange and banana) against your teeth for about 2-3 minutes before and after eating. So, don’t throw them away and take advantage of them to take care of your teeth!
All cited sources were thoroughly reviewed by our team to ensure their quality, reliability, currency, and validity. The bibliography of this article was considered reliable and of academic or scientific accuracy.
- Al‐Hashedi, A. A., Dubreuil, N., Schwinghamer, T., Dorzhiyeva, S., Anweigi, L., Emami, E., & Tamimi, F. (2022). Aragonite toothpaste for management of dental calculus: A double‐blinded randomized controlled clinical trial. Clinical and Experimental Dental Research, 8(4), 863-874. https://onlinelibrary.wiley.com/doi/abs/10.1002/cre2.559
- American Dental Association (ADA). (2021). Floss/Interdental Cleaners. https://www.ada.org/resources/ada-library/oral-health-topics/floss/
- Benahmed, A. G., Gasmi, A., Dadar, M., Arshad, M., & Bjørklund, G. (2021). The role of sugar-rich diet and salivary proteins in dental plaque formation and oral health. Journal of oral biosciences, 63(2), 134-141. https://www.sciencedirect.com/science/article/pii/S1349007921000116
- Brooks, J. K., Bashirelahi, N., & Reynolds, M. A. (2017). Charcoal and charcoal-based dentifrices: A literature review. The Journal of the American Dental Association, 148(9), 661-670. https://www.sciencedirect.com/science/article/pii/S0002817717304129
- Deus, F. P., & Ouanounou, A. (2022). Chlorhexidine in dentistry: pharmacology, uses, and adverse effects. International dental journal, 72(3), 269-277. https://www.sciencedirect.com/science/article/pii/S0020653922000259
- Duane, B., Yap, T., Neelakantan, P., Anthonappa, R., Bescos, R., McGrath, C., … & Brookes, Z. (2023). Mouthwashes: alternatives and future directions. international dental journal. https://www.sciencedirect.com/science/article/pii/S0020653923004574
- James, P., Worthington, H. V., Parnell, C., Harding, M., Lamont, T., Cheung, A., … & Riley, P. (2017). Chlorhexidine mouthrinse as an adjunctive treatment for gingival health. Cochrane Database of Systematic Reviews, (3). https://www.cochranelibrary.com/cdsr/doi/10.1002/14651858.CD008676.pub2/abstract
- Myneni, S. R. (2017). Effect of baking soda in dentifrices on plaque removal. The Journal of the American Dental Association, 148(11), S4-S9. https://www.sciencedirect.com/science/article/pii/S0002817717308097
- Pandiyan, I., Rathinavelu, P. K., Arumugham, M. I., Srisakthi, D., & Balasubramaniam, A. (2022). Efficacy of Chitosan and Chlorhexidine Mouthwash on Dental Plaque and Gingival inflammation: a systematic review. Cureus, 14(3). https://www.ncbi.nlm.nih.gov/pmc/articles/PMC9014838/
- Peedikayil, F. C., Sreenivasan, P., & Narayanan, A. (2015). Effect of coconut oil in plaque related gingivitis—A preliminary report. Nigerian Medical Journal, 56(2), 143-147. https://journals.lww.com/nimj/fulltext/2015/56020/effect_of_coconut_oil_in_plaque_related_gingivitis.12.aspx
- Polatoglu, S. (s.f.) Toothpaste: overview. International Research in Dentistry. ISBN: 978-625-6971-22-6. https://www.researchgate.net/profile/Selin-Polatoglu/publication/369594309_toothpaste/links/6423eed5a1b72772e43503f1/toothpaste.pdf
- Ren, X., He, J., Cheng, R., Chen, Y., Xiang, Y., Zhang, Y., … & Hu, T. (2023). The efficacy and safety of oral irrigator on the control of dental plaque and gingivitis: a randomized, single-blind, parallel-group clinical trial. International Journal of Environmental Research and Public Health, 20(4), 3726. https://www.mdpi.com/1660-4601/20/4/3726
- Ruiz, M. A., de Souza Miola, L., Hori, G. M. R., & Catelan, A. (2021). Whitening effect of brushing with activated charcoal-based products on enamel: Integrative review. Research, Society and Development, 10(15), e259101522809-e259101522809. https://rsdjournal.org/index.php/rsd/article/view/22809
- Van der Weijden, F. A., & Slot, D. E. (2015). Efficacy of homecare regimens for mechanical plaque removal in managing gingivitis a meta review. Journal of clinical periodontology, 42, S77-S91. https://onlinelibrary.wiley.com/doi/abs/10.1111/jcpe.12359
- Zotarelli Filho, I. J. (2016). Influence of smok factors. International Journal of Current Research, 8(0). https://scholar.googleusercontent.com/scholar?q=cache:oF956BduwB0J:scholar.google.com/+INFLUENCE+OF+SMOKING+IN+CLINICAL+PRESEWITH+OTHER+CARDI1&hl=es&as_sdt=0,5&as_ylo=2016&as_yhi=2024
This text is provided for informational purposes only and does not replace consultation with a professional. If in doubt, consult your specialist.







