Ptosis or Droopy Eyelid: Causes and Treatments

Are you interested in learning more about ptosis or droopy eyelid? We’ll tell you about it in today’s article.
Your eyelids are mobile structures that cover your eyeballs. They help to protect the conjunctiva and cornea. They may lose their mobility or drop abnormally, which will negatively impact your vision.
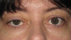
Eyelid ptosis or droopy eyelid is a condition in which one or both of your upper eyelids descend. It can happen to people of both sexes and someone at any age. However, it’s most common in older adults. In addition, the condition could be mild and barely noticeable or severe with visual blockage.
Generally, it occurs once the muscles in your eyelids start to weaken. In addition, it could be the result of an injury to the nerve pathways or loss of elasticity of the skin that forms the palpebral fold. Although you can’t prevent this condition, early medical and surgical management of this condition can help you avoid complications.
Causes and risk factors of ptosis or droopy eyelid
Several conditions can cause eyelid ptosis. Studies show that its origin can be congenital or acquired. Also, aging is the most common cause.
In addition, drooping eyelid can be the result of the following:
- Aponeurotic: this occurs with the continuous stretching and weakening of the eyelid muscle. It’s one of the most common causes of droopy eyelid and it’s associated with old age, prolonged use of rigid contact lenses, and recurrent eye rubbing.
- Neurogenic: this is the result of an injury to the nerve pathways that control your eyelid’s movement. This condition occurs at the level of the third cranial nerve or common oculomotor nerve. In addition, it’s a common condition of Horner syndrome, myasthenia gravis, and facial paralysis.
- Myogenic: this is associated with systemic conditions that promote progressive muscular dystrophy and weakness. Because of that, the eyelid muscle can’t adequately perform its functions.
- Mechanical: this is the result of an increase in volume at the eyelid level from either a mass, cyst, or tumor.
- Traumatic: this develops as a result of an external injury at the level of the eyeball. Trauma can directly affect muscle, nerve pathways, fascia, or a combination of them.
In newborns, a drooping eyelid can be the result of a birth defect or an intrauterine developmental disorder. In these cases, it’s vital to act quickly so you can avoid long-term complications, like lazy-eye or amblyopia.

Who can it affect?
In general, eyelid ptosis affects men and women equally. Also, it can occur at any time in life. However, it’s more common in the elderly.
Similarly, this condition is associated with the following conditions:
- Stye
- Eyelid tumor
- Previous corrective eye surgery
- Diabetes mellitus
- Muscular dystrophy
- Cerebrovascular disease
- Bell’s palsy
Keep reading: Natural Treatments for Styes
Symptoms and signs associated with droopy eyelid
The most obvious clinical manifestation of ptosis is the drooping of the upper eyelid. As a result, it may be partially or completely covering the eye. The degree of its descent will vary from mild to severe, and it can affect one or both eyes.
Some research shows that a unilateral droopy eyelid is the most common, and it’s especially common in the left eye. In addition, the following symptoms are common:
- Feeling weight or pressure on your eyeball
- Constant tearing
- Dry eyes
- Reduce vision
- Recurrent head tilt to see better
Sometimes, the manifestation of a droopy eyelid is confused with dermatochalasis. This is a connective tissue disorder in which there are excessive skin folds on the upper eyelid.
Possible consequences
The main complication of ptosis is loss of vision in one or both eyes. In adults, it can obstruct their vision and affect their ability to complete daily activities.
On the other hand, amblyopia is a visual maturation disorder that usually affects school-aged children. With this condition, light cannot enter through the pupil. In addition, studies suggest that other refractory conditions, like strabismus and astigmatism, contribute to amblyopia due to ptosis.
When to seek medical help
Generally, a drooping eyelid with no apparent external cause is usually a sign of some underlying condition. Because of that, it’s vital to seek medical attention as soon as possible. If you don’t, your drooping eyelid could cause ocular discomfort and continuous tearing. In addition, reduced visual capacity is often an alarming symptom that requires immediate attention.
Also, you should immediately see a health professional if ptosis begins after trauma. In general, traumatic events tend to compromise very delicate nerve structures and are associated with damage to other tissues.
Diagnostic tests
An ophthalmologist is the specialist in charge of dealing with eye injuries or diseases. The physician should do a physical examination and ask about the patient’s medical history. This will help them identify the direct cause of the drooping eyelid.
Neurological examination of the cranial nerves and osteoarticular evaluation is essential to confirm or rule our nerve injuries or muscle disorders. Also, they may perform a fundus examination during the medical examination. That test will show any alterations at the level of the optic nerve and the retinal parenchyma.
In addition, the specialist may request blood and imaging tests because they offer a broader profile of the condition. In these tests, magnetic resonance imaging and computed tomography help the professional identify cerebrovascular events and brain tumors.
The Tensilon test is another useful tool for diagnosing eyelid ptosis. It consists of the parenteral administration of edrophonium, a drug that improves muscle contraction by inhibiting the enzyme acetylcholinesterase. Your doctor will explore whether the drug improves your droopy eyelid and muscle weakness.
Treatments for ptosis or droopy eyelid
Treatment for droopy eyelid depends on the underlying condition and how severe it is. Some cases may require conventional methods or surgical procedures to correct the issue. Most patients require surgery.
Non-surgical
Currently, ptosis crutches are one of the most effective non-invasive methods to manage droopy eyelids. They’re usually added to the patient’s glasses and they work to support the eyelid and increase your field of vision. Also, your ophthalmologist will need to adjust them.
In addition, the specialist may prescribe vitamin B12 for people with neuromuscular disorders. This vitamin promotes nervous recovery and can improve acquired cases of neurogenic ptosis.
Also read: Five Natural Remedies to Lift Droopy Eyelids
Surgical
If you’re dealing with advanced stages of ptosis, or if you’re experiencing vision loss, you’ll need to undergo surgery. The procedure consists of repairing and lifting the affected eyelid into an optimal position. In doing so, the professional can quickly improve the patient’s aesthetics and visual abilities.
In addition, the specialist may recommend surgery for children with congenital ptosis as a preventative treatment for amblyopia. However, this procedure can lead to adverse effects like asymmetric eyelids, eyelid immobility, and dry eyes.

Lifestyle with ptosis or droopy eyelids
In general, eyelid ptosis doesn’t affect the patient’s general health. It’s mostly a cosmetic problem. However, the rapid progression of this condition without treatment can compromise the patient’s vision. In those cases, the prognosis depends on the underlying cause and its severity.
Correction surgery usually offers satisfactory results in the majority of patients. It’s important to note that this procedure is not recommended for older adults due to associated complications. Also, there are other types of traditional methods that can alleviate symptoms, like acupuncture and eye strengthening exercises.
Conclusion
Drooping eyelid usually develops gradually with little noticeable changes in the ocular mucosa and visual capacity. Because of this, it can go unnoticed, especially in the elderly. However, eyelid ptosis can also occur as a result of a neurological injury or stroke.
Therefore, you should seek immediate professional attention if this condition includes a loss of strength in your extremities, seizures, deviation of facial expression, and speech disturbances. Early attention to the issue can make a big difference.
All cited sources were thoroughly reviewed by our team to ensure their quality, reliability, currency, and validity. The bibliography of this article was considered reliable and of academic or scientific accuracy.
- Novo Torres A, Salvador Sanz J, Lorda Barraguer E, Laredo Ortiz C. Corrección de ptosis palpebral por la incisión de blefaroplastia. Cir. plást. iberolatinoam. 2006; 32( 3 ): 179-184.
- Negrin-Cáceres Y, Cabrera-Romero A, Cárdenas-Monzón L, Figueroa-Padilla M. Comportamiento clínico-quirúrgico de la ptosis palpebral en la consulta de Cirugía Plástica Ocular. Medicentro Electrónica. 2016; 20( 1 ): 18-26.
- Pérez-Íñigo M, González I, Mayoral F, Ferrer C, Honrubia F.M. Estudio comparativo de los defectos de refracción en niños con ptosis miogénica congénita simple y niños control. Arch Soc Esp Oftalmol. 2008; 83( 10 ): 601-606.
- Finsterer J. Ptosis: causes, presentation, and management. Aesthetic Plast Surg. 2003;27(3):193-204.
- SooHoo JR, Davies BW, Allard FD, Durairaj VD. Congenital ptosis. Surv Ophthalmol. 2014;59(5):483-92.
- Ng J, Hauck MJ. Ptosis repair. Facial Plast Surg. 2013;29(1):22-5.
- Vidal Pérez, Teresa, et al. “Efectividad de la digitopuntura y electromagnetopuntura en pacientes con ptosis palpebral congénita.” Medisan 15.10 (2011): 1384-1391.
- Novo Torres A, Salvador Sanz J, Lorda Barraguer E, Laredo Ortiz C. Corrección de ptosis palpebral por la incisión de blefaroplastia. Cir. plást. iberolatinoam. 2006; 32( 3 ): 179-184.
- Becerra EM, Blanco G, Muiños Y, Bianciotto C. Tratamiento quirúrgico de ptosis palpebral miogénica adquirida. Arch Soc Esp Oftalmol. 2005; 80( 6 ): 359-364.
This text is provided for informational purposes only and does not replace consultation with a professional. If in doubt, consult your specialist.







